宫颈囊肿图片
宫颈囊肿(又称纳氏腺囊肿)又叫宫颈纳氏囊肿,同宫颈糜烂、宫颈息肉一样,是慢性宫颈炎的一种表现。宫颈囊肿(又称纳氏腺囊肿)是妇科中的常见病。那么宫颈囊肿图片什么样?宫颈囊肿到底是如何形成的呢?让我们来看看南阳宫颈囊肿治疗医师的解答。
宫颈囊肿是如何形成的?
宫颈囊肿是慢性宫颈炎的一种病理表现。在子宫颈囊肿症状愈合过程中,新生的鳞状上皮覆盖宫颈腺管口或伸入腺管,将腺管口阻塞。腺管周围的结缔组织增生或瘢痕形成压迫腺管,使腺管变窄甚至阻塞,腺体分泌物引流受阻、潴留形成囊肿。囊肿大小不等,一般较小而分散。可单独出现这些子宫颈囊肿症状,亦可多个出现。

宫颈囊肿图片
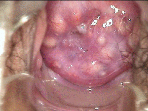
宫颈囊肿有哪些症状表现?
1、外在症状:发生宫颈囊肿后白带粘稠或脓性,白带有时带血丝或少量的血液,或者是接触性的出血,伴有下腹痛、腰骶部酸痛等,盆腔部下坠痛感强烈,痛经现象明显,常在月经期、排便、性交时加重。(推荐阅读:宫颈囊肿与宫颈息肉的区别)
2、妇科检查:在子宫颈囊肿检查时可以看到宫颈表面突出多个大小不一的青白色囊泡(并非紫色),内含黏液,小的有米粒大,大的有玉米粒大,有的可以长得很大,且一些子宫颈囊肿症状会有突出于宫颈表面的特点,更有甚者可到达阴道口,根部与宫颈之间有蒂相连,常合并有宫颈肥大。
>>>>现在预约宫颈疾病检查:妇科内诊+白带常规+数码阴道镜+B超,4项检查只需优惠TCT检查半价80元。
技术推荐:美国第六代超高频Leep术
南阳天伦医院领先引进的美国第六代超高频Leep术,采用专利3.8MHz定向超高频电波技术,在接触身体组织后,由组织本身产生阻抗,使目标组织内的水分子在超高频电波作用下瞬间振荡汽化,引起细胞破裂蒸发,在低温下实现切割、止血、消融、电凝等治疗功能,无伤害脱落病变组织,短时间内清除病灶,促进组织重建,改善微循环,从而达到有效治好宫颈疾病的目的。
美国第六代超高频Leep术的治疗优势
1、治疗时间短:一般只需15分钟即可完成手术,恢复快,患者稍作休息即可自行离开,不影响正常工作和生活。
2、微创出血少:无压力切割,利用细胞吸收超高频电波能量理论,可以有效促进病变细胞凝固和消融,同时有很好的凝血作用,术中出血少,创面小,术后一个月左右即可恢复。
3、并发症少:通过电极高端释放的高频电弧波在接触病变组织时基本上是垂直接触,而且不发热、切割有效、热损伤小于15微米,无侧热量传导、无侧组织灼伤,不会引起周围组织的炭化和粘连,不影响病理检查。
4、不影响生育:超高频电流更加稳定,电极定位更加有效,不会伤及正常宫颈组织,术后宫颈表面光滑而富有弹性,20000例患者临床观察发现,Leep刀手术丝毫不影响女性生育。
5、手术效果有效:可提供完整的无炭化的组织标本,以确定病灶是否有效切除,并可确诊阴道镜或传统电刀术较难诊断的微小浸润癌,对宫颈病变实现性有效治好。
【成功案例】多年顽疾,十五分钟解决
近两年,张女士阴道断断续续反复流血,尤其是在月经前后会有不规则的出血症状发生,阴道瘙痒、白带增多的现象也接踵而至。一位好朋友得知了他的身体情况,建议她去南阳天伦医院,身边有很多朋友的了各种各样的妇科疑难杂症在那里都治好了,医生非常的负责。
于是赵女士在丈夫的陪同下来到了南阳天伦医院,终确诊赵女士患了宫颈囊肿,好在发现及时,囊肿比较小,治疗起来比较轻松。经过“美国第六代超高频LEEP术”的治疗,宫颈囊肿有效祛除。
【国家标准透明合理收费】
南阳天伦医院全新引进领先超一流设备设施,巨资建造超洁净层流净化手术室,每小时换气600次和空气净化措施,无菌率达99.8%,有效预防宫颈囊肿术中感染,更利于术后恢复。
南阳天伦医院严格执行国家标准收费,严格按照卫生部标准和物价局要求,每种药品、每项检查、每项服务、每一笔门诊、住院费用都有效公开,每位患者都能真正地明白就医,清楚付费。
“一人一室一诊”的诊疗模式,让患者就诊时绝不受到其他无关人员的打扰,且医院方面对患者的隐私绝对守口如瓶,安全更。
【推荐医师】南阳天伦医院妇科医师 崔兰英 点击免医师挂号费
主治医师,从事妇科产科临床诊疗工作20余年,曾在山西省人民医院工作多年,1996年在湖北医科大学专攻妇科微创技术,具有扎实的专业知识和丰富的临床经验,对各种宫颈疾病的诊疗具有独到见解,能够熟练操作各种妇科微创手术。
由台湾天伦妇科研究院、台湾妇癌基金会联合开展的“感动2013 爱心接力微公益”活动在南阳天伦医院正式启动,活动期间通过网络提前预约,妇科常规检查免费、新柏氏TCT防癌筛查半价,美国第六代超高频Leep术手术费只需280元。如果您还有关于宫颈疾病的更多疑问,请点击咨询与妇科医师一对一交流。
不少女性看到B超检查单时,看到上面写着盆腔积液的数值,心里一直嘀咕。我这是正常呢,还是不正常了,也不...
阅读(282)
女性在不同年龄段月经周期变化情况相同吗?南阳天伦医院妇科医师指出,女性在不同年龄段,月经周期的变化是...
阅读(252)
轻度宫颈糜烂会自己好吗?患轻度宫颈糜烂时,患者一般无明显自觉症状,也可能仅有白带略增多,常容易被忽略...
阅读(182)
大概三个月了,早上五六点时开始下腹胀痛,感觉要小便,起来小便后就慢慢不痛了,睡一两个小时后又胀痛,有...
阅读(146)
医生你好,我每次月经来之前都会乳房胀痛,月经来了就好多了,请问月经前两天乳房胀痛是怎么回事?...
阅读(208)