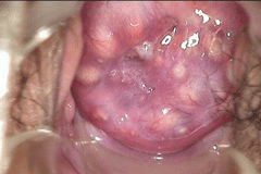
宫颈囊肿的图片
宫颈囊肿是慢性宫颈炎的表现之一,是指在宫颈表现出现多个大小不一的青白色囊泡,内含黏液,有些甚至能够到达宫颈口的现象。宫颈囊肿的部与宫颈之间有蒂相连,常合并有宫颈肥大。

宫颈囊肿的图片
宫颈囊肿包括哪两种类型?
1、宫颈那氏腺囊肿。是在宫颈糜烂愈合过程中,新生的鳞状上皮覆盖宫颈腺管口或伸入腺管,将腺管口阻塞;腺管周围的结缔组织增生或瘢痕成压迫腺管,使腺管变窄甚至阻塞,腺体分泌物引流受阻,滞留形成的囊肿叫宫颈纳氏囊肿。
2、宫颈纳博特囊肿。在慢性子宫颈炎时,子宫颈腺体及周围组织都增生。当腺管被周围组织所挤压,腺口阻塞,使腺体内的分泌物不能外流而潴留于内,致腺腔扩张,形成大小不等的囊形肿物,称为“子宫颈腺潴留囊肿”,又称纳博特囊肿。
宫颈囊肿患者为什么会出现出血?
南阳宫颈囊肿治疗医师许彩芳主任指出,通常宫颈囊肿出血的情况有两种,一种是出现血性白带、一种是出现阴道接触性出血。感染了宫颈囊肿后,女性有可能会出现血性白带。同时,有很多患者即使疾病没有治好也进行同房,这样就有可能会导致女性出现阴道接触性出血。(推荐阅读:那氏腺囊肿对月经有影响吗)
宫颈囊肿患者为什么会不孕?
如果宫颈囊肿比较严重,囊肿有可能会堵塞宫颈口,这样有可能会影响到精子进入宫腔,这样就会影响到女性怀孕的概率。同时,宫颈囊肿患者常常会分泌大量的粘性白带,不利于精子穿透,就有可能会影响到怀孕。同时白带中含有大量的白细胞,而这些白细胞对精子的存活率或者是活动力都有可能会产生影响。
美国第六代超高频Leep术,性有效治好宫颈囊肿
南阳天伦医院引进的美国第六代超高频Leep术,是目前领先领先的治疗宫颈疾病的手段,采用一系列形态各异的高频电波刀治疗各种宫颈病变。该技术独有“高频、低温、微创、精细”四大特点,手术范围广而专一,具有诊断和治疗的双层效果。手术过程中可以连续切除宫颈癌发病高危区,有效预防宫颈癌。手术更安全,更有效,不需住院,并发症少,并可保留完整、连续的标本进行病理检查,明显降低宫颈癌的误诊率和漏诊率,是治疗宫颈疾病领先的技术。
》》》点击咨询在线医师:宫颈囊肿会变成宫颈癌吗? 》》》
在台湾天伦妇科研究院南阳直属基地揭牌两周年感恩回馈活动期间,通过网上提前预约,南阳天伦医院妇科常规检查免费,新柏氏TCT防癌筛查半价,美国第六代超高频Leep术手术费低只需280元。如需帮助请点击咨询在线医师。
大概三个月了,早上五六点时开始下腹胀痛,感觉要小便,起来小便后就慢慢不痛了,睡一两个小时后又胀痛,有...
阅读(146)
轻度宫颈糜烂会自己好吗?患轻度宫颈糜烂时,患者一般无明显自觉症状,也可能仅有白带略增多,常容易被忽略...
阅读(182)
女性在不同年龄段月经周期变化情况相同吗?南阳天伦医院妇科医师指出,女性在不同年龄段,月经周期的变化是...
阅读(252)
不少女性看到B超检查单时,看到上面写着盆腔积液的数值,心里一直嘀咕。我这是正常呢,还是不正常了,也不...
阅读(282)
医生你好,我每次月经来之前都会乳房胀痛,月经来了就好多了,请问月经前两天乳房胀痛是怎么回事?...
阅读(208)