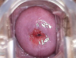
宫颈糜烂的图片
宫颈糜烂是由于炎症刺激,宫颈表面的被覆上皮细胞脱落,而下方的柱状上皮细胞向外突出,代替了脱落的被覆上皮。因柱状上皮的毛细血管显露,使炎症区呈鲜红色,故称为宫颈糜烂,那么宫颈糜烂是什么样的?下面南阳妇科医师就结合宫颈糜烂图片来讲解宫颈糜烂不同时期的症状表现。
南阳妇科医师指出,临床上根据宫颈糜烂的面积将宫颈糜烂分为以下三类,具体图片和症状表现如下:
1、轻度宫颈糜烂。宫颈表面只有小于1/3的糜烂面。

症状:患者一般无明显自觉症状,可能仅自觉白带略有增多,因此极易被忽略。许多患者的轻度宫颈糜烂都是在行妇科检查时或因其他妇科病就诊时被发现,患者一般自己是不会发现轻度宫颈糜烂症状的。(推荐阅读:宫颈糜烂会不会自愈)
2、中度宫颈糜烂。糜烂面积在1/3—2/3之间。

症状:白带增多,色黄质粘稠,或白带中夹有血丝,少数患者有接触性出血。炎性分泌物长期刺激外阴,还可引起外阴瘙痒症。另外,由于宫颈淋巴道与宫旁结缔组织直接相通,炎症可循淋巴循环扩散到盆腔,导致盆腔结缔组织炎,出现腰骶酸痛,小腹坠胀等症状。
3、重度宫颈糜烂。整个宫颈表面有效被糜烂组织包围。

症状:患者出现白带增多,颜色发黄,质地粘稠并有臭味,有炎性的白带长期刺激外阴还会引起瘙痒。根据病原体的不同,白带会发生颜色、状态等的不同,还有些重糜患者会出现白带夹有血丝,在性交后出现接触性出血和阴道不规则出血的现象,伴有尿频、尿急等症状。
》》》点击咨询在线医师:引起宫颈糜烂的原因有哪些? 》》》
治疗宫颈糜烂,优选美国第六代超高频Leep术
南阳天伦医院领先引进的美国第六代超高频Leep术,是目前领先上治疗宫颈疾病知名的技术,它是通过电极高端产生的高频电磁波对病灶产生强大能量,导致蛋白变性及病变组织细胞不可逆性坏死,同时起到止血和促进组织重建、改善微循环的目的,达到了非常精细的治疗效果,实现了真正的微创。Leep刀可以性有效治好宫颈糜烂,术后宫颈光滑如初,不影响女性生育能力。
南阳天伦医院拥有领先领先的高精尖诊疗设备,临床经验丰富的资深医师坐诊,专业诊治各种妇科常见病、多发病和疑难病,并根据病情给予专业的个性化的指导意见,提供专业治疗方案,如需帮助请咨询在线医师。
请问葡萄胎治疗危险吗?刮宫是微痛好还是有痛的好?一般大约需要多少钱?...
阅读(146)
卵巢囊肿破裂怎么办?该怎么治疗?南阳天伦医院妇科医师指出,一旦出现卵巢囊肿破裂症状后应及时到医院进行治...
阅读(521)
盆腔炎应该怎样治效果好?...
阅读(170)
好几个月没来月经了,不知道是怎么回事?为什么会出现闭经呢?需要到医院去做什么检查?南阳哪个妇科医院治疗...
阅读(205)
怀孕后一直觉得小腹隐隐作痛,今天早上还有少量的阴道出血,这可能是宫外孕吗?请问在南阳检查宫外孕得多少...
阅读(131)